血管DSA圖譜之頭顱靜脈

作者:介入家園 來源:騰訊微信 日期:15-02-13

1、上吻合靜脈 2、額升靜脈 3、大腦中淺靜脈 4、海綿竇 5、岩上竇

6、岩下竇 7、中央溝靜脈 8、頂枕升靜脈 9、顳後靜脈 10、下吻合靜脈

1、丘紋靜脈 2、透明隔靜脈 3、基底靜脈 4、海綿竇 5、頸內靜脈 6、上矢狀竇

7、下矢狀竇 8、大腦內靜脈 9、大腦大靜脈 10、直竇 11、竇彙 12、橫竇

13、乙狀竇

1、上矢狀竇 2、橫竇 3、乙狀竇 4、中央溝靜脈

5、上吻合靜脈 6、丘紋靜脈 7、靜脈角 8、基底靜脈

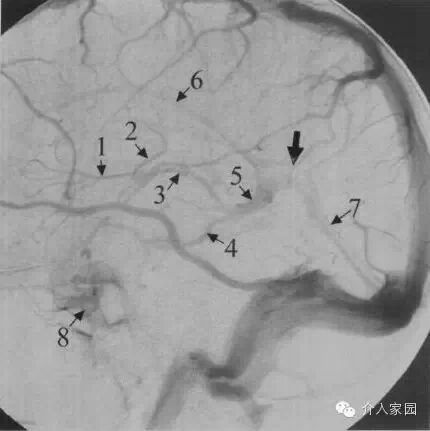
1、上吻合靜脈 2、額升靜脈 3、靜脈角 4、透明隔靜脈 5、大腦中淺靜脈 6、海綿竇 7、岩下竇 8、乙狀竇 9、中央溝靜脈 10、上矢狀竇

11、頂升靜脈 12、下矢狀竇 13、丘紋靜脈 14、胼周後靜脈 15、大腦內靜脈 16、枕升靜脈 17、大腦大靜脈 18、側腦室下靜脈 19、基底靜脈

20、直竇 21、大腦下靜脈 22、竇彙 23、橫竇

1、上矢狀竇 2、頂升靜脈 3、枕升靜脈 4、直竇 5、竇彙 6、橫竇 7、乙狀竇 8、中央溝靜脈 9、上吻合靜脈 10、額升靜脈

11、丘紋靜脈 12、靜脈角 13、大腦內靜脈 14、透明隔靜脈 15、基底靜脈 16、大腦中淺靜脈 17、海綿竇 18、岩下竇

1、大腦內靜脈 2、基底靜脈 3、腦橋中腦前靜脈(中腦段) 4、腦橋中腦前靜脈(腦橋段) 5、海綿竇

6、岩下竇 7、大腦大靜脈 8、直竇 9、中腦外側靜脈 10、小腦幕竇

11、岩上竇 12、蚓下靜脈 13、小腦半球下靜脈

1、小腦半球靜脈 2、乙狀竇 3、海綿竇 4、橫竇 5、蚓下靜脈 6、岩上竇 7、岩下竇

1.透明隔靜脈 2.尾狀核前靜脈 3.丘紋靜脈 4.終末靜脈 5.大腦內靜脈 6.三角區內靜脈 7.三角區外靜脈

1.透明隔靜脈 2.丘紋靜脈 3.大腦內靜脈 4.基底靜脈 5.大腦大靜脈 6.下矢狀竇 7.直竇 8.海綿竇

1、顳淺靜脈前支 2、滑車上靜脈 3、眼上靜脈 4、內眥靜脈

5、鼻外靜脈 6、上唇靜脈 7、麵深靜脈 8、咬肌靜脈

9、下唇靜脈 10、顳中靜脈 11、顳淺靜脈後支 12、顳淺靜脈

13、翼靜脈叢14、枕靜脈 15、腮腺靜脈 16、下頜後靜脈

17、頸深靜脈 18、頸外靜脈 19、麵靜脈 20、頦下靜脈

21、頸內靜脈

以上圖片來自互聯網,難免存在錯誤,如發現有問題,歡迎聯係醫學論壇網小編修改或聯係小編郵箱jiangxj@cmt.com.cn。

關鍵字:靜脈叢,頭顱靜脈,血管DSA

分享到:
新浪微博 微信 騰訊微博 更多
更多評論
//站內統計//百度統計//穀歌統計//站長統計